Views: 1000 Author: Site Editor Publish Time: 2025-10-16 Origin: Site
Continuous caloric restriction (CR) stands as the gold standard for extending both the lifespan and healthspan of model organisms. In recent years, intermittent fasting (IF) interventions—often combined with caloric restriction—have emerged as a viable alternative for clinical implementation. However, to date, it remains unclear whether the health benefits of intermittent fasting stem from the temporary cessation of caloric intake or the actual net reduction in total calories available for nutritional support.
Similar to caloric restriction, intermittent fasting has been proven to extend the lifespan and healthspan of model organisms such as yeast, nematodes, fruit flies, and mice. In humans, intermittent fasting, prolonged fasting, and continuous caloric restriction exert beneficial effects on multiple health-related parameters, which may share a common mechanistic basis. There is strong evidence that cellular autophagy mediates these effects. Additionally, spermidine (SPD) exhibits similar associations across species, including enhanced autophagy, anti-aging properties, and a reduced incidence of cardiovascular and neurodegenerative diseases.
Against this backdrop, whether the anti-aging effects of intermittent fasting and caloric restriction are related to or dependent on spermidine becomes a question worthy of exploration.
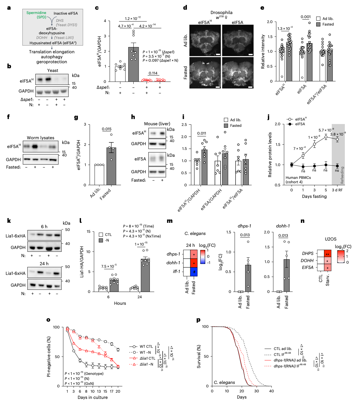
On August 8, 2024, researchers from the University of Graz (Austria), Sorbonne University (Paris), and the University of Crete (Greece) collaborated to publish a study titled "Spermidine is essential for fasting-mediated autophagy and longevity" in Nature Cell Biology, a sub-journal of Nature. This study demonstrates that spermidine is indispensable for fasting-mediated autophagy and longevity. Across multiple species, the improvement in lifespan and healthspan induced by fasting partially relies on spermidine-dependent hypusination modification of eukaryotic translation initiation factor 5A (eIF5A) and the subsequent induction of autophagy.

In mammals, the age-related decline in autophagic flux promotes the accumulation of protein aggregates and dysfunctional organelles, along with failures in pathogen clearance and exacerbated inflammation. Genetic inhibition of autophagy accelerates the aging process in mice. The loss-of-function mutations in genes that regulate or execute autophagy are causally linked to cardiovascular diseases, infectious diseases, neurodegenerative diseases, as well as metabolic, musculoskeletal, ocular, and pulmonary diseases—many of which resemble premature aging. Conversely, genetic stimulation of autophagy promotes the lifespan and healthspan of model organisms, including fruit flies and mice.
Beyond nutritional interventions, the administration of spermidine (SPD)—a natural polyamine—to model organisms like yeast, nematodes, fruit flies, and mice represents another strategy to extend lifespan in an autophagy-dependent manner. Furthermore, spermidine can restore autophagic flux in circulating lymphocytes of the elderly, which aligns with the observation that increased dietary spermidine intake is associated with a reduced overall mortality rate in humans.
Spermidine is a natural polyamine widely present in living organisms. It was first discovered in semen, hence its name. Nevertheless, spermidine is not exclusive to semen; it also exists in other human tissues, such as the ovaries. In recent years, a growing body of research has shown that spermidine possesses remarkable and potent anti-aging effects, and can ameliorate age-related decline in ovarian function and impaired fertility.
Therefore, fasting, caloric restriction, and spermidine all extend the lifespan of model organisms and activate phylogenetically conserved, autophagy-dependent protective effects against aging. In this latest study, the research team further explored whether the anti-aging protective effects of intermittent fasting are related to or dependent on spermidine.
The research team found that spermidine levels increase under different fasting or caloric restriction regimens in yeast, fruit flies, mice, and humans. Moreover, genetic or pharmacological blocking of endogenous spermidine synthesis reduces fasting-induced autophagy in yeast, nematodes, and human cells. Additionally, interfering with the polyamine pathway in vivo eliminates the lifespan- and healthspan-extending effects of fasting, as well as the cardioprotective and anti-arthritic effects of fasting. Specifically, blocking polyamine synthesis attenuates the healthspan-extending effect of intermittent fasting in mice.

Blocking polyamine synthesis can weaken the extension of healthy lifespan in mice by intermittent fasting.
Mechanistically, spermidine mediates these effects by inducing autophagy and hypusination modification of the eukaryotic translation initiation factor eIF5A. The polyamine-hypusination axis serves as a phylogenetically conserved metabolic regulatory hub in fasting-mediated enhancement of autophagy and lifespan extension. Notably, the hypusination modification of eIF5A acts downstream of spermidine and mediates the longevity associated with intermittent fasting.

The eIF5A-hypusination modification, which occurs downstream of spermidine, mediates longevity associated with intermittent fasting.
In summary, this study indicates that across multiple species, the improvement in lifespan and healthspan induced by fasting partially depends on spermidine-dependent hypusination modification of eIF5A and the subsequent induction of autophagy.
Paper link: https://www.nature.com/articles/s41556-024-01468-x
Important Reminder:All content in this article is for general reference only and is provided solely to offer information support for practitioners in the nutrition and health industry. Descriptions related to efficacy are supported by corresponding data, but they do not represent claims or guidance for consumers. Content related to health, medical care, and technological applications is for reference only. For medical matters, please consult professional medical institutions and follow medical advice. This article does not provide any medical recommendations.