Views: 1000 Author: Lin LIU Publish Time: 2025-09-15 Origin: Site
1. Market Background & Component Overview
Superior stability
Higher bioavailability
Multifunctional skin benefits
2. Key Skincare Benefits of Pterostilbene
2.1 Powerful Antioxidant Protection
Outperforms resveratrol in free radical scavenging (McCormack & McFadden, Oxid Med Cell Longev, 2013).
Shields skin from oxidative stress caused by UV radiation, pollution, and blue light, delaying premature aging.
2.2 Anti-Inflammatory & Skin Barrier Support
Modulates the NF-κB pathway to reduce inflammatory cytokines (Chang et al., J Agric Food Chem, 2012).
Benefits sensitive skin, reduces redness and post-inflammatory irritation, and supports skin barrier repair.
2.3 Anti-Aging & Collagen Boosting
Activates SIRT1 signaling to promote cellular repair and collagen synthesis (McCormack et al., 2012).
Visibly improves skin firmness, elasticity, and reduces wrinkles.
2.4 Healthy Glow & Even Complexion
Unlike "whitening" ingredients, its antioxidant and anti-inflammatory effects create a radiant, balanced complexion — aligning with Western consumers’ demand for a natural, healthy glow.
3. Supporting Data & Visual Evidence
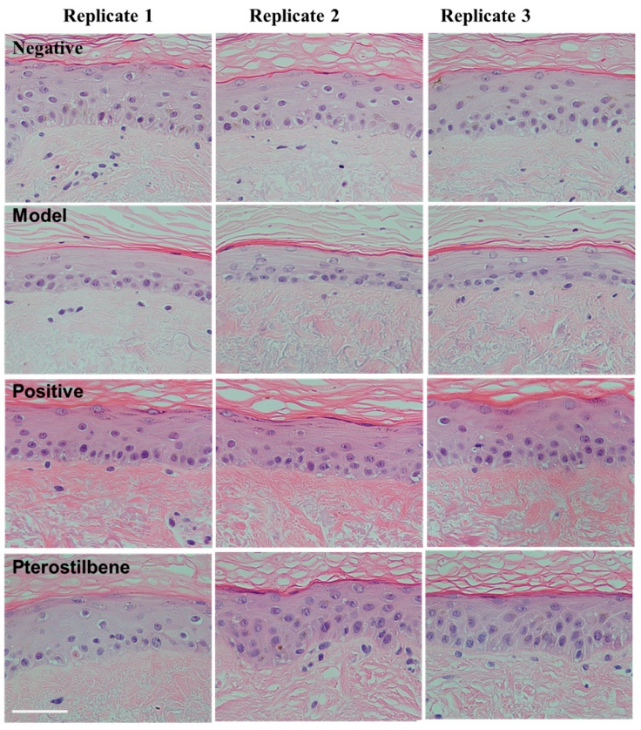
Figure 1: Protective Effect of Pterostilbene on Sebaceous Glands and Surrounding Skin [2]

(Description: Illustrates pterostilbene’s role in safeguarding sebaceous glands and adjacent skin tissue.)
Figure 2: Protection of Extracellular Matrix

Increases fibril content and elevates FGF-β levels, demonstrating strong protective effects on the extracellular matrix.
Figure 3: Clinical Efficacy of Pterostilbene Lotion (28-Day Trial)

Enhanced skin elasticity and firmness
Reduced area/volume of forehead and periorbital wrinkles; lower crow’s feet area percentage
Improved aging index (ELCOR)
Increased epidermal thickness, collagen strength, elastic fiber fluorescence intensity, and standardized area of the dermal-epidermal junction (DEJ)
4. Our Competitive Advantages
Patent Pending: Filing patents for production technology and skincare applications to protect partners’ intellectual property.
Superior Cost Efficiency: Proprietary green synthesis achieves ≥98% purity at a lower cost than conventional methods, delivering a competitive edge.
Scientific Collaborations: Partner with research institutes to validate pterostilbene’s efficacy in anti-aging, barrier repair, and photoaging prevention via in vitro and future clinical studies.
Clear Differentiation: Outperforms widely used resveratrol in stability and efficacy; offers strong market novelty — ideal for premium skincare formulations.
5. References
McCormack D, McFadden D. A review of pterostilbene antioxidant activity. Oxid Med Cell Longev. 2013.
Chang J, et al. Anti-inflammatory effects of pterostilbene. J Agric Food Chem. 2012.
McCormack D, et al. Pterostilbene activates SIRT1, promoting collagen synthesis. 2012.
6. Summary
Pterostilbene integrates antioxidant, anti-inflammatory, and anti-aging effects into one next-generation skincare active. It provides a science-driven, patent-backed, and cost-effective solution for brands targeting Western markets.
Important Disclaimer: This article is for informational purposes only and intended for professionals in the nutrition and health industry. All efficacy-related descriptions are supported by relevant data but do not constitute claims or guidance for consumers. Content related to health, medicine, and technological applications is for reference only. For medical needs, consult a professional medical institution and follow medical advice. This article does not provide any medical recommendations.